Caso Clinico | 2
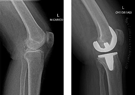
Paziente donna di 67 anni, affetta da gonartrosi tricompartimentale sinistra aggravata da calcificazione dei menischi, trattata con protesi totale mini invasiva del ginocchio a conservazione del legamento crociato posteriore.
Paziente donna di 67 anni, affetta da gonartrosi tricompartimentale sinistra aggravata da calcificazione dei menischi, trattata con protesi totale mini invasiva del ginocchio a conservazione del legamento crociato posteriore.