Caso Clinico | 1

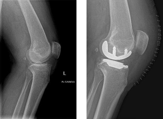
Paziente maschio di 65 anni, affetto da gonartrosi mediale sinistra, trattata con protesi monocompartimentale mediale di ginocchio con tecnica mini invasiva.

Radiografie

Video testimonianza

Deambulazione a 4 giorni dall’intervento

© Copyright 2022 - Dott. Michele Massaro | Partita IVA: 08490190728 | Sito internet creato da Marketing Medico